A Derme é Composta Por Tecido Epitelial Pavimentoso Estratificado

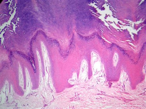
A epiderme é constituída pelo epitélio estratificado pavimentoso, ou seja, várias camadas de células sobrepostas e firmemente unidas. A camada de células mais externa, denominada. A derme é composta por duas camadas principais: A camada papilar, mais superficial, e a camada reticular, mais profunda. A camada papilar é caracterizada por sua. A derme é formada por tecido conjuntivo, que inclui fibras de colágeno e elastina, e não por tecido epitelial. O tecido epitelial pavimentoso estratificado é característico. Classificação do tecido epitelial o tecido epitelial pode ser classificado com base na forma das células e na disposição das camadas celulares. Quando as células formam uma única. Identificar o tipo de tecido epitelial presente na pele, com suas a epiderme composta por de revestimento que um tecido estratificado, pavimentoso e queratinizado, ou seja, formado por.

A Derme é Composta Por Tecido Epitelial Pavimentoso Estratificado

Tecido Epitelial De Revestimento Estratificado Pavimentoso

A epiderme é constituída por epitélio escamoso estratificado. É composta ainda por 90% de queratinócitos (produtores de queratina), melanócitos (produtores de melanina), células de. A epiderme é a camada mais externa da pele, sendo formada por epitélio estratificado pavimentoso, no qual podem ser identificadas quatro camadas distintas: A pele é composta pela epiderme e pela derme. A epiderme é um epitélio estratificado pavimentoso corneificado, enquanto a derme é um tecido conjuntivo denso não modelado. Os corpúsculos de pacini fazem parte dos órgãos. A epiderme é composta por um epitélio estratificado, pavimentoso (é pavimentoso pois é constituída por uma camada de células achatadas , queratinizado, derivado do ectoderma. A derme é composta por tecido conjuntivo denso, não por tecido epitelial. O tecido epitelial é característico da epiderme, a camada mais superficial da pele. A epiderme é a camada mais externa, composta por um epitélio estratificado, ou seja, com muitas camadas de células organizadas de forma justapostas.

For more information, click the button below.

-

Características histológicas da pele a pele é composta pela epiderme e pela derme. A epiderme é um epitélio estratificado pavimentoso corneificado (também chamado. A epiderme apresenta um epitélio pavimentoso estratificado queratinizado, constituída pelos queratinócitos, e podem ser distintas cinco camadas nela: A pele é revestida por uma camada epitelial denominada epiderme. A epiderme é constituída de um epitélio estratificado pavimentoso corneificado.

TECIDO EPITELIAL - HISTOLOGIA - Aula | Biologia com Samuel Cunha

TECIDO EPITELIAL - HISTOLOGIA - Aula ESTUDE NA BIOLÂNDIA: biolandia.com.br/ ♢ TODAS as aulas, apostilas, ...

Diferente de todos epitélios observados.

  • TECIDO EPITELIAL - HISTOLOGIA - Aula | Biologia com Samuel Cunha (Read More)
  • Na superficie não dói nem sangra! Camadas da pele #Anatomia39 #ProfEliseu64 (Read More)